
2025-0-17
Dental laminate
Admin
What you will read
Everything about the difference between zirconia crown and ceramic dental crown
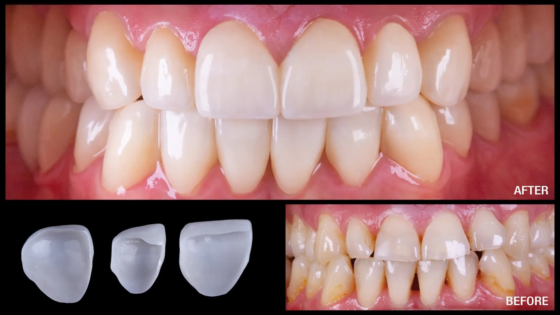
Dental crowns, as one of the most common methods of tooth restoration, play a significant role in restoring both the beauty and functionality of damaged teeth. A dental crown can give you a beautiful smile and boost your confidence. The crown you choose not only affects the appearance of your smile but also impacts the overall health of your mouth and teeth.
This crown improves the function of damaged teeth and makes chewing easier. Zirconia and ceramic crowns are two of the most popular types of dental restorations. The main difference between zirconia crowns and ceramic ones lies in their price, with zirconia crowns, according to reliable sources in 2025, being more expensive than ceramic crowns.
Each of these crowns has its own unique features and applications, and the choice of the best option depends on various factors such as the condition of the tooth, budget, and individual aesthetic preferences. In this article, we will examine the differences between zirconia and ceramic crowns and explain each of these distinctions.
| Zirconia Crown | Ceramic Crown | Comparison Criteria |
|---|---|---|
| Zirconium oxide (hard, metal-free ceramic) | Porcelain or Chinese ceramic (metal-free) | Material & Structure |
| Very high, suitable for teeth under high pressure | Less than zirconia, more brittle under high pressure | Strength |
| Natural, translucent, suitable for both front and back teeth | Very natural, more translucent, suitable for front teeth | Aesthetics |
| Very resistant, no change over time | Resistant, but possible discoloration over the long term | Resistance to Discoloration |
| Over 15 years (with proper care) | Around 10 years (less durable than zirconia) | Longevity |
| Molars, implants, large restorations | Front teeth, delicate cosmetic restorations | Best Suited For |
| Higher due to advanced technology and higher quality | More economical, suitable for limited budgets | Cost |
| High strength + natural aesthetics | Greater beauty and delicate appearance | Primary Application |
| People needing high strength and aesthetics | People prioritizing aesthetics above all else | Ideal Candidates |
What is a Zirconia Dental Crown?
A zirconia crown is considered one of the best options for dental restoration and aesthetics. If you're looking for a crown with high strength, natural beauty, and long durability, a zirconia crown would be an excellent choice for you.
A zirconia crown is a ceramic cap made from a highly durable and resistant material called zirconia. This material has unique properties that make it one of the best choices for restoring damaged teeth or altering the shape of teeth. Zirconia crowns are ideal for those seeking a crown with high strength, long-lasting durability, and natural aesthetics.
What is a Ceramic Dental Crown?
Ceramic dental veneers, which are a type of dental laminate, are made from a Chinese material called porcelain, which looks very similar to natural teeth. Ceramic dental veneers require a lot of care and can be damaged if not cared for properly.
Ceramic crowns are among the best options for enhancing the aesthetic appeal of teeth, as they do not contain any metal. These modern crowns are virtually identical to natural teeth due to their metal-free composition. Ceramic crowns are ideal for individuals seeking a restoration with striking beauty and high precision.
Differences Between Zirconia and Ceramic Crowns
In this section, we will explore the key differences between zirconia and ceramic crowns to help you make an informed decision about which crown is right for you:
Difference in Material
Zirconia and ceramic crowns differ in the materials used and certain characteristics. The primary material of zirconia crowns is zirconium oxide, a very hard and wear-resistant mineral. Ceramic crowns, on the other hand, are made from various types of ceramics, with porcelain being the most common. Ceramics are mineral-based materials that are fired at high temperatures and have a smooth, glossy surface.
Difference in Strength and Aesthetics
Zirconia has exceptional strength and resistance to breakage and wear, making it an ideal choice for teeth that endure significant chewing forces, such as molars. Despite its high strength, zirconia is flexible enough to resist cracking under chewing pressure.
Ceramic crowns are made from high-quality ceramic materials, but they do not offer the same level of strength as zirconia crowns. While ceramic crowns are resistant to wear and breakage, they are more brittle and may crack under intense pressure.
Difference in Cost and Budget
One of the differences between zirconia and full ceramic crowns is their cost. Generally, zirconia crowns are more expensive than regular ceramic crowns. Zirconia is a more expensive material, with unique properties that provide increased strength and beauty.
The manufacturing process for zirconia crowns requires advanced technology and equipment, which raises production costs. Moreover, creating zirconia crowns requires more precision and care to ensure a more natural and high-quality final result.
Difference in Color Stability
One of the main advantages of zirconia crowns is their remarkable resistance to discoloration. Zirconia is a chemically inert material that does not react with food or beverages, meaning zirconia crowns maintain their color over time and do not yellow. The crystalline structure of zirconia makes it highly resistant to staining and color changes.
Ceramic crowns also have good color stability but are more prone to discoloration than zirconia crowns. Some types of ceramic crowns may change color over time due to the consumption of colored foods and drinks.
Difference in Durability and Lifespan
Zirconia crowns are known for their high durability. With proper care, zirconia crowns can last for over 15 years or more. Additionally, zirconia crowns can easily withstand chewing forces and are highly resistant to breakage.
Ceramic crowns also have good durability, but they are not as strong as zirconia crowns. The typical lifespan of ceramic crowns is around 10 years, as they are more sensitive to pressure and may crack under stronger chewing forces.
Difference in Application
Zirconia and ceramic crowns are both used for restoring damaged teeth and improving the appearance of smiles, but they have different applications.
Zirconia crowns, due to their exceptional strength, are particularly suited for teeth that experience high chewing forces. Their applications include:
- Molars, which endure the most chewing pressure.
- Severely damaged teeth that require extensive restoration.
- Dental implants.
Ceramic crowns, due to their superior aesthetics and delicate nature, are primarily used for front teeth. Their applications include:
- Front teeth, where transparency, natural color, and a beautiful smile are essential.
- Teeth that have become discolored, to cover stains and color changes.
Difference in Suitable Candidates
Zirconia crowns are ideal for:
- Individuals seeking a crown with high strength and long-term durability.
- People whose teeth endure heavy chewing pressure.
- Those who value both the beauty and natural appearance of the crown.
- People looking for a crown that resists discoloration.
Ceramic crowns are ideal for:
- Individuals who prioritize the beauty and finesse of the crown.
- Those who want a crown with a natural look.
- People seeking a more affordable crown option.
How to Choose the Best Dental Crown
Once you have gathered enough information about the differences between zirconia and ceramic crowns, you can make a more informed decision regarding which type of crown is best for you. To make the right choice, it's important to consider several key factors:
Consultation with Your Dentist
Your dentist will assess the condition of your teeth, the extent of the damage, the location of the tooth in your mouth, and the natural color of your teeth to recommend the best type of crown. This recommendation will be based on your priorities, such as aesthetics, strength, and cost.
Material of the Crown
Another important factor to consider is the material of the crown, which should offer high strength, durability, and compatibility with your gums. One similarity between zirconia and ceramic crowns is their compatibility with gum tissue.
Condition of the Teeth
Before selecting a crown, it's essential to consider the condition of your teeth. For severely damaged teeth and for front teeth, where aesthetics are more critical, zirconia crowns are generally a better option.
Budget
If you have a limited budget, zirconia crowns might not be the best option for you due to their higher cost.
Color and Shape of the Teeth
The crown's color should match the natural color of your teeth, and its shape should blend seamlessly with the rest of your teeth. Your dentist should pay close attention to these details to ensure the crown integrates perfectly with your natural teeth.
Conclusion
Zirconia and ceramic crowns are two of the most popular options for dental restorations, and they have significant differences. The first difference is that zirconia is known for its strength and durability, making it ideal for high-quality restorations, while ceramic is primarily used for aesthetic restorations.
The difference in material and physical properties also plays a role. Zirconia's high resistance to light and color distortion makes it a top choice for restorations in the front of the mouth. On the other hand, ceramic crowns are composed of two layers of ceramic and are effective in posterior restorations.
Ultimately, the key difference is that zirconia is better suited for withstanding high pressure and heavy loads, while ceramic is the best option for aesthetic and cosmetic restorations. Choosing between the two should be based on your specific needs and the recommendations of your dentist. Dr. Ebadian Clinic, the best dental clinic in Jordan (Tehran) is ready to serve you, my dears.
Featured Blogs

2025-0-2
Everything about the difference between veneer and dental composite

2025-0-7
Treatment of mouth ulcers: effective solutions for quick healing of mouth ulcers

2025-0-23
What is a zirconia crown: everything about its advantages and disadvantages

2025-1-4
Take teeth grinding seriously: a complete guide for prevention and treatment

2025-1-2
