
Our patients come to us with hopes and aspirations. Their happiness and satisfaction with the results they receive is sublime and valuable. Understanding this happiness is a gift for the clinicians which gives them inspiration. What makes the clinicians qualified and equipped of their position is the gift, along with love for the patients
Introduction
Blogs

Causes of Tooth Loosening After Root Canal Treatment
What causes tooth loosening after a root canal? Reasons, complications, and treatments for loose root canal-treated teeth to maintain oral health.
Read More
Bad Breath After Dental Composite; Causes and Solutions
Bad breath after composite can result from improper placement or poor oral hygiene. Stay with us as we examine the causes and solutions for this issue.
Read More
How to Use Dental Floss: A Complete Guide to Usage, Benefits, and Common Mistakes
What is dental floss and why should it be used, an introduction to the types of dental floss and their characteristics, a step-by-step tutorial on how to use dental floss, and common mistakes in using dental floss.
Read More
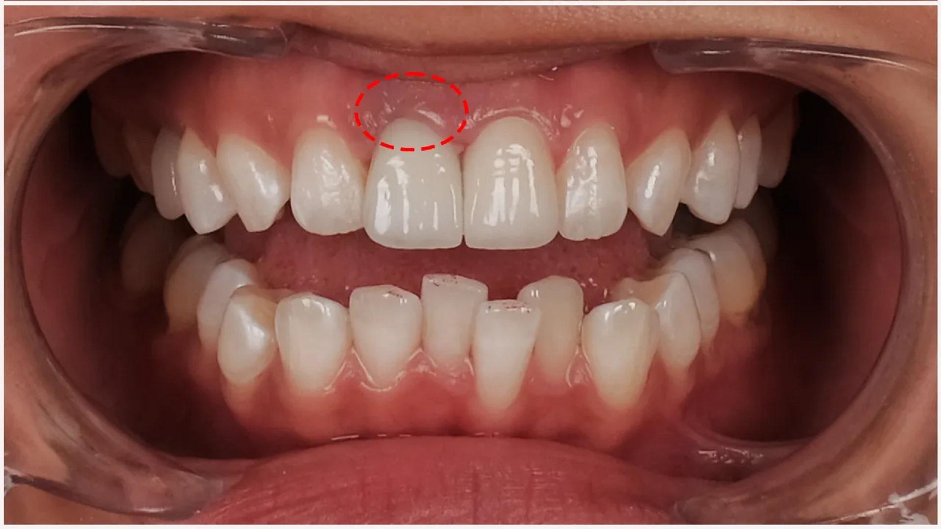
What Are the Side Effects of Dental Veneers? Prevention and Care Methods
From tooth sensitivity to gum inflammation, we scientifically examine the side effects of dental veneers and provide golden tips to reduce risks and increase their longevity. Ask ChatGPT
Read More

















