علائم پس زدن ایمپلنت دندان: راهنمای کامل پیشگیری تا درمان

علائم پس زدن ایمپلنت دندان: راهنمای کامل پیشگیری تا درمان

ایمپلنت دندانی یکی از روش‌های پرکاربرد و موفق در جایگزینی دندان‌های از دست‌رفته است. این روش، اگرچه در اکثر مواقع نتیجه‌بخش است، اما در مواردی ممکن است بدن فرد نسبت به ایمپلنت واکنش منفی نشان دهد؛ حالتی که به آن «پس زدن ایمپلنت» گفته می‌شود. تشخیص زودهنگام علائم پس زدن ایمپلنت دندان نقش مهمی در پیشگیری از آسیب‌های بیشتر دارد. در این مطلب به بررسی دقیق علائم پس زدن پایه ایمپلنت، دلایل، عوارض و راهکارهای پیشگیری از پس زدن ایمپلنت دندانی خواهیم پرداخت.

 

موضوع توضیحات 
علائم پس زدن ایمپلنت درد طولانی، التهاب مداوم، خارش یا بی‌حسی لثه، تحلیل لثه، ناتوانی در جویدن، کاهش حس چشایی، لق شدن ایمپلنت
دلایل پس زدن ایمپلنت پیوند استخوان ناموفق، عدم رعایت بهداشت، مصرف دخانیات، بیماری‌های لثه، کیفیت پایین ایمپلنت، بیماری‌های سیستمیک، آسیب به عصب یا سینوس، آلرژی به مواد
اقدامات لازم پس از پس زدن مراجعه سریع به متخصص، عکس‌برداری تخصصی، درمان دارویی یا جراحی، بررسی بیماری‌های زمینه‌ای، برنامه‌ریزی برای کاشت مجدد
عوارض پس زدن ایمپلنت از دست رفتن ایمپلنت، تحلیل لثه و استخوان، عفونت گسترده، آسیب به دندان‌های مجاور، افزایش هزینه درمان، کاهش اعتماد به نفس
راه‌های جلوگیری از پس زدن ایمپلنت انتخاب پزشک مجرب، بررسی وضعیت دهان قبل از جراحی، رعایت کامل بهداشت دهان، ترک سیگار و الکل، رژیم غذایی نرم، کنترل بیماری‌های مزمن، چکاپ منظم

 

پس زدن ایمپلنت چه علائمی دارد؟

 

در حالی که نرخ موفقیت ایمپلنت‌های دندانی در ایران به بیش از 95 درصد می‌رسد، آن چند درصد شکست، صدای استخوان‌هایی است که پذیرای میله تیتانیومی نشده‌اند. در سایه‌ی این موفقیت‌ها، آگاهی از علائم هشداردهنده و انتخاب دندانپزشک ماهر، می‌تواند از بروز مشکلات جدی جلوگیری کند. گاهی اوقات علائم پس زدن ایمپلنت به‌راحتی با علائم طبیعی بعد از جراحی اشتباه گرفته می‌شوند. اما اگر این نشانه‌ها بیش از چند روز تا چند هفته ادامه پیدا کنند، باید جدی گرفته شوند:

 

 

طولانی شدن درد

 

وجود درد در ناحیه کاشت در روزهای ابتدایی مانند اکثر درمان‌های دندان پزشکی مثل عصب کشی دندان، جراحی لثه دندان و… کاملاً طبیعی است. با این حال، اگر درد بیش از دو هفته ادامه پیدا کند، یا به جای کاهش، شدت آن بیشتر شود، این وضعیت طبیعی نیست و ممکن است از علائم پس زدن ایمپلنت دندان باشد.

درد طولانی ممکن است به دلیل عدم جوش‌خوردگی مناسب ایمپلنت با استخوان فک (به اصطلاح عدم اُسواینتگریشن)، یا وجود التهاب و عفونت در اطراف ایمپلنت باشد. گاهی این درد همراه با ضربان یا حساسیت به لمس است که نیاز به بررسی فوری دارد.

 

التهاب و ورم مداوم لثه

 

تورم و قرمزی در روزهای اولیه پس از جراحی معمولاً با گذشت زمان فروکش می‌کند. اما اگر این علائم پس از یک هفته تا ده روز بهبود نیابد یا حتی بدتر شود، ممکن است نشانه‌ای از عفونت بافت‌های اطراف یا واکنش منفی سیستم ایمنی باشد. لثه‌هایی که همچنان متورم، خونریزی‌کننده یا دچار ترشح چرک باشند، باید توسط متخصص بررسی شوند؛ زیرا عدم رسیدگی می‌تواند به شکست کامل ایمپلنت منجر شود.

 

از دست دادن یا کاهش حس چشایی

 

در برخی بیماران، احساس تغییر در حس چشایی یا بی‌حسی در زبان و لب‌ها مشاهده می‌شود. این موضوع اغلب به دلیل آسیب به عصب‌های محیطی ناحیه فک در حین جراحی رخ می‌دهد. اگر این احساس طی چند هفته برطرف نشود، احتمال آسیب دائمی به عصب وجود دارد. کاهش حس چشایی همچنین ممکن است از نشانه‌های سیستمیک پس زدن یا التهابات شدید عصبی باشد که به‌هیچ‌وجه نباید نادیده گرفته شود.

 

احساس خارش یا ناراحتی غیرطبیعی در لثه

 

خارش در محل ایمپلنت ممکن است بی‌اهمیت به‌نظر برسد، اما می‌تواند علامت شروع یک واکنش آلرژیک یا التهابی باشد. احساس گزگز، سوزش یا خارش مزمن که با تماس با غذا یا نوشیدنی تشدید شود، نشان می‌دهد که بدن به نوع فلز ایمپلنت (مثلاً تیتانیوم) حساسیت نشان داده یا یک عفونت موضعی در حال شکل‌گیری است. خارش معمولاً از اولین علائم پس زدن پایه ایمپلنت است که در صورت بی‌توجهی به مراحل پیشرفته‌تری تبدیل خواهد شد.

 

ناتوانی در جویدن و فشار دادن

 

یکی از اهداف اصلی ایمپلنت، بازگرداندن عملکرد طبیعی دندان است. اگر پس از چند هفته، هنگام جویدن غذا احساس درد، فشار غیرعادی، لق بودن یا ناتوانی در استفاده از ناحیه کاشت وجود داشته باشد، این علامت هشداردهنده است. در چنین شرایطی، ممکن است اتصال ایمپلنت به استخوان فک ضعیف باشد یا ساختار بافتی اطراف آن دچار التهاب مزمن شده باشد.

 

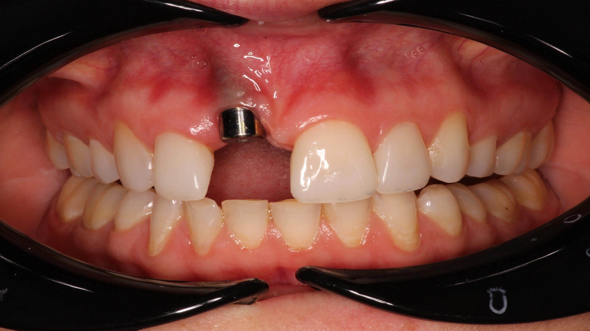
تحلیل لثه یا فرورفتگی در اطراف ایمپلنت

 

در حالت طبیعی، لثه باید به صورت کامل و بدون شکاف اطراف ایمپلنت را بپوشاند. اگر با گذشت زمان متوجه عقب‌رفتگی لثه یا نمایان شدن بخش فلزی ایمپلنت شدید، احتمال تحلیل لثه و از بین رفتن بافت نرم وجود دارد. این حالت که از علائم پس زدن ایمپلنت است، معمولاً نشانه‌ای از التهاب‌های مزمن یا پیوند ناموفق بافتی است که در صورت پیشروی، می‌تواند ساختار نگهدارنده ایمپلنت را به خطر بیندازد.

 

لق شدن یا جابه‌جایی ایمپلنت

 

همانطور که لق شدن دندان در درمان‌های دیگر دندانپزشکی مثل لمینت دندان و کامپوزیت دندان، اتفاقی هشدار دهنده است، لق شدن ایمپلنت نیز یکی از واضح‌ترین نشانه‌های شکست درمان است. ایمپلنت موفق باید پس از دوره جوش‌خوردن، همانند دندان طبیعی کاملاً ثابت و بدون حرکت باشد. هرگونه حرکت، لق شدن یا جابه‌جایی ایمپلنت به معنای عدم جوش‌خوردگی مناسب با استخوان، عفونت شدید، یا حتی شکست سازه ایمپلنت است. در این مرحله، اقدام فوری برای ارزیابی و احتمالاً خارج کردن ایمپلنت ضروری خواهد بود.

 

 

دلایل پس زدن ایمپلنت

 

دلایل زیر نقش مهمی در موفقیت یا شکست درمان ایمپلنت دارند و آگاهی از آن‌ها می‌تواند به پیشگیری از بروز مشکلات بعدی کمک کند:

 

پیوند استخوان ناموفق

 

در مواردی که استخوان فک به‌قدر کافی تراکم یا حجم لازم را برای کاشت ایمپلنت ندارد، دندانپزشک اقدام به پیوند استخوان می‌کند. این فرایند، زمان‌بر و نیازمند مراقبت‌های ویژه است. اگر بدن بیمار نتواند با موفقیت این پیوند را بپذیرد یا عفونتی در ناحیه ایجاد شود، استخوان جدید جوش نمی‌خورد و پایه‌ای محکم برای ایمپلنت شکل نمی‌گیرد. در نتیجه، ایمپلنت لق می‌شود یا پس زده می‌شود.

 

عدم رعایت توصیه‌های بهداشتی

 

رعایت نکردن بهداشت دهان و دندان، از مهم‌ترین عواملی است که باعث عفونت اطراف ایمپلنت می‌شود. باقی ماندن غذا، پلاک میکروبی و عدم استفاده منظم از نخ دندان و مسواک، موجب رشد باکتری‌ها در ناحیه اطراف ایمپلنت می‌شود. این باکتری‌ها می‌توانند بافت لثه و استخوان را تخریب کنند و در نهایت باعث لق شدن و شکست ایمپلنت شوند. در کلینیک دکتر عبادیان، بهترین کلینیک دندانپزشکی شمال تهران پس از انجام ایمپلنت تمام نکات بهداشتی به شما گفته میشود که در صورت رعایت آن‌ها احتمال پس زدن ایمپلنت به نزدیک صفر میرسد.

 

مصرف دخانیات

 

مصرف سیگار، قلیان و سایر فرآورده‌های دخانی، جریان خون را در بافت‌های دهانی کاهش می‌دهد و باعث بروز علائم پس زدن ایمپلنت دندان میشود. این کاهش خونرسانی باعث می‌شود اکسیژن و مواد مغذی لازم برای ترمیم و جوش‌خوردن ایمپلنت به استخوان به‌خوبی تأمین نشود. همچنین نیکوتین و سایر ترکیبات مضر موجود در دود دخانیات روند ایمنی و بازسازی بدن را مختل کرده و احتمال پس زدن ایمپلنت را افزایش می‌دهند.

 

بیماری‌های لثه

 

افرادی که دچار بیماری‌های مزمن لثه مانند پریودنتیت هستند، بیشتر در معرض پس زدن ایمپلنت قرار دارند. این بیماری‌ها باعث تحلیل رفتن لثه و استخوان نگهدارنده دندان می‌شوند. در صورت عدم درمان کامل پیش از کاشت ایمپلنت، محیط دهان برای پذیرش جسم خارجی مناسب نخواهد بود و خطر بروز عفونت یا عدم اتصال کامل ایمپلنت به استخوان بالا می‌رود.

 

کیفیت نامناسب ایمپلنت

 

استفاده از ایمپلنت‌های ارزان‌قیمت، غیراستاندارد یا تولیدشده توسط برندهای نامعتبر، یکی از دلایل شایع شکست درمان و بروز علائم پس زدن پایه ایمپلنت است. مواد نامرغوب ممکن است در برابر فشارهای جویدن مقاومت کافی نداشته باشند یا باعث واکنش بدن شوند. همچنین طراحی نادرست ایمپلنت‌ها می‌تواند در نحوه اتصال به استخوان یا پخش فشار اختلال ایجاد کند و منجر به شکست شود.

 

عفونت درمان‌نشده (پری ایمپلنتایتیس)

 

پری ایمپلنتایتیس نوعی التهاب و عفونت مزمن در اطراف ایمپلنت است که در صورت عدم شناسایی و درمان به‌موقع، می‌تواند به از بین رفتن بافت نرم و استخوان اطراف منجر شود. این وضعیت معمولاً با قرمزی، خونریزی، درد یا ترشح همراه است و اگر کنترل نشود، منجر به پس زدن کامل ایمپلنت می‌شود.

 

بیماری‌های سیستمیک مانند دیابت و آرتریت روماتوئید

 

افراد مبتلا به بیماری‌های سیستمیک مزمن مانند دیابت کنترل‌نشده یا آرتریت روماتوئید با ضعف در سیستم ایمنی و کاهش توانایی بدن در ترمیم زخم‌ها مواجه هستند. این بیماران بیشتر در معرض عفونت و شکست فرآیند جوش خوردن ایمپلنت قرار دارند. کنترل مناسب بیماری‌های زمینه‌ای پیش از شروع درمان ایمپلنت ضروری است.

 

نزدیکی به سینوس‌ها در فک بالا

 

در فک بالا، به‌ویژه در نواحی عقب‌تر (مولرها)، سینوس ماگزیلاری قرار دارد. اگر ایمپلنت بیش از حد بلند باشد یا به درستی جای‌گذاری نشود، ممکن است وارد حفره سینوسی شود. این نفوذ می‌تواند باعث عفونت، التهاب سینوس یا حتی آسیب به ساختارهای اطراف شود و در نهایت منجر به پس زدن ایمپلنت گردد.

 

آسیب به عصب فکی

 

در نواحی پایینی فک، مخصوصاً در نزدیکی کانال عصبی تحتانی، اگر جای‌گذاری ایمپلنت دقیق نباشد و به عصب فشار وارد شود، می‌تواند باعث بی‌حسی، گزگز، درد مزمن یا ضعف در ناحیه چانه و لب‌ها شود. این نوع آسیب گاهی غیرقابل‌برگشت است و در بسیاری موارد نیاز به خارج کردن ایمپلنت دارد.

 

آلرژی به مواد ایمپلنت

 

هرچند تیتانیوم که در بیشتر ایمپلنت‌ها استفاده می‌شود ماده‌ای زیست‌سازگار است، اما برخی افراد ممکن است به آلیاژهای آن مانند نیکل یا سایر فلزات حساسیت داشته باشند. این آلرژی می‌تواند باعث ایجاد التهاب، درد، خارش و سایر علائم پس زدن ایمپلنت دندان شود که در نهایت باعث شکست ایمپلنت میشود.

 

 

در صورت پس زدن ایمپلنت چه اقداماتی لازم است؟

 

در صورت مواجهه با علائم پس زدن ایمپلنت، انجام اقدامات زیر ضروری است:

  1. مراجعه فوری به متخصص جراحی فک و ایمپلنت: در اولین فرصت باید به یک متخصص مراجعه کنید تا علت دقیق مشکل بررسی شود و از پیشرفت آسیب جلوگیری گردد.
  2. انجام عکس‌برداری تخصصی: معمولاً عکس‌برداری پانورکس یا CBCT برای بررسی وضعیت استخوان اطراف ایمپلنت و تشخیص میزان آسیب لازم است.
  3. تجویز دارو یا آنتی‌بیوتیک: اگر نشانه‌هایی از عفونت وجود داشته باشد، پزشک با تجویز دارو یا آنتی‌بیوتیک مناسب تلاش می‌کند عفونت را کنترل کند.
  4. خارج کردن ایمپلنت در صورت لزوم: اگر ایمپلنت آسیب جدی به بافت اطراف زده باشد یا به درستی در جای خود قرار نگرفته باشد، ممکن است نیاز به خارج کردن آن باشد تا از آسیب بیشتر جلوگیری شود.
  5. بررسی و کنترل بیماری‌های زمینه‌ای: پزشک وضعیت عمومی بدن بیمار، از جمله بیماری‌هایی مثل دیابت یا مشکلات سیستم ایمنی را بررسی می‌کند تا مانع از تکرار مشکل در آینده شود.
  6. برنامه‌ریزی برای تجدید درمان: در صورت نیاز، درمان‌های تقویتی مانند جراحی پیوند استخوان یا روش‌های مکمل دیگر در آینده برنامه‌ریزی می‌شود تا شرایط لازم برای کاشت مجدد ایمپلنت فراهم گردد.

 

 

پس زدن ایمپلنت چه عوارضی دارد؟

 

برخی از عوارض پس زدن ایمپلنت دندان عبارتند از:

  • از دست دادن کامل ایمپلنت: در صورت پس زدن، ایمپلنت به طور کامل از دست می‌رود و بیمار ممکن است نیاز به انجام جراحی مجدد برای جایگزینی آن داشته باشد.
  • تحلیل استخوان و لثه: ناحیه‌ای که ایمپلنت در آن قرار گرفته، ممکن است دچار تحلیل استخوان و عقب‌رفتگی لثه شود که ترمیم آن نیازمند درمان‌های تخصصی‌تری خواهد بود.
  • بروز عفونت گسترده: عفونت می‌تواند در ناحیه فک و لثه گسترش پیدا کند و موجب درد، تورم و خطرات جدی‌تری برای سلامت دهان و دندان شود.
  • آسیب به دندان‌های مجاور: پس زدن ایمپلنت ممکن است به دندان‌های کناری آسیب وارد کند و باعث لقی یا تغییر در ساختار آن‌ها شود.
  • کاهش اعتماد به نفس: از دست دادن ایمپلنت و ایجاد ناهماهنگی در ظاهر دندان‌ها می‌تواند بر زیبایی لبخند و اعتماد به نفس فرد تأثیر منفی بگذارد.
  • افزایش هزینه‌ها: نیاز به درمان‌های مجدد، جراحی، و پیوند استخوان می‌تواند هزینه‌های درمانی و زمانی بیمار را به شکل قابل توجهی افزایش دهد.

 

 

نکات مهم برای جلوگیری از علائم پس زدن ایمپلنت

 

رعایت نکات زیر میتواند از بروز علائم پس زدن ایمپلنت دندان جلوگیری کند:

استفاده از تجربه و تخصص پزشک در افزایش شانس موفقیت کاشت ایمپلنت مؤثر است.

انتخاب دندانپزشک مجرب

ارزیابی تراکم استخوان، سلامت لثه و شرایط عمومی بدن پیش از جراحی الزامی است.

بررسی‌های پیش از جراحی

مسواک زدن، نخ دندان و دهان‌شویه منظم مانع از عفونت اطراف ایمپلنت می‌شود.

رعایت بهداشت دهان و دندان

مصرف این مواد روند ترمیم را مختل کرده و احتمال پس زدن ایمپلنت را افزایش می‌دهد.

پرهیز از سیگار و الکل

پرهیز از خوردن غذاهای سفت و فشار وارد نکردن بر ایمپلنت به بهبود کمک می‌کند.

رژیم غذایی مناسب

کنترل قند خون، فشار خون و سایر بیماری‌ها مانع از ایجاد عوارض پس از کاشت می‌شود.

کنترل بیماری‌های مزمن

بررسی دوره‌ای توسط دندانپزشک از بروز مشکلات احتمالی در آینده جلوگیری می‌کند.

چکاپ منظم

 

جمع‌بندی

 

اگرچه کاشت ایمپلنت در اغلب موارد روشی موفق و پایدار است، اما همانطور که متوجه شدید، گاهی ممکن است بدن نسبت به آن واکنش نشان دهد. آگاهی از علائم پس زدن ایمپلنت دندان و دلایل پس زدن ایمپلنت می‌تواند به تشخیص سریع و اقدام به‌موقع کمک کند. انتخاب پزشک حرفه‌ای، رعایت بهداشت و توجه به وضعیت سلامتی عمومی، سه عامل کلیدی در موفقیت کاشت ایمپلنت هستند. اگر هر یک از علائم پس زدن پایه ایمپلنت که در این مقاله ذکر شد را تجربه کردید، بهتر است در اسرع وقت با دندانپزشک خود مشورت کنید.

 

سوالات متداول

 

  • آیا پس زدن ایمپلنت همیشه با درد همراه است؟

خیر، گاهی پس زدن ایمپلنت بدون درد رخ می‌دهد، اما با علائمی مثل لق شدن، تحلیل لثه یا خروج چرک همراه است.

  • چقدر طول می‌کشد تا مشخص شود ایمپلنت پس زده شده؟

معمولاً بین یک هفته تا چند ماه بعد از کاشت، علائم اولیه مشخص می‌شوند. در موارد نادر، پس زدن ممکن است در بلندمدت هم اتفاق بیفتد.

  • آیا می‌توان پس از پس زدن، دوباره ایمپلنت کاشت؟

بله، اما ابتدا باید محل درمان شود (مثل پیوند استخوان یا رفع عفونت) و سپس شرایط برای کاشت مجدد بررسی شود.

  • آیا بیماران دیابتی می‌توانند ایمپلنت بگذارند؟

اگر دیابت به‌خوبی کنترل شده باشد، بله. اما در غیر این صورت، احتمال پس زدن ایمپلنت بیشتر می‌شود.

  • آیا پس زدن ایمپلنت فقط در هفته اول اتفاق می‌افتد؟

خیر، ممکن است هفته‌ها یا حتی ماه‌ها بعد از کاشت نیز رخ دهد، به همین دلیل پیگیری‌های دوره‌ای اهمیت زیادی دارد.

اشتراک‌گذاری

نوشتن دیدگاه

Your email address will not be published. Required fields are marked *